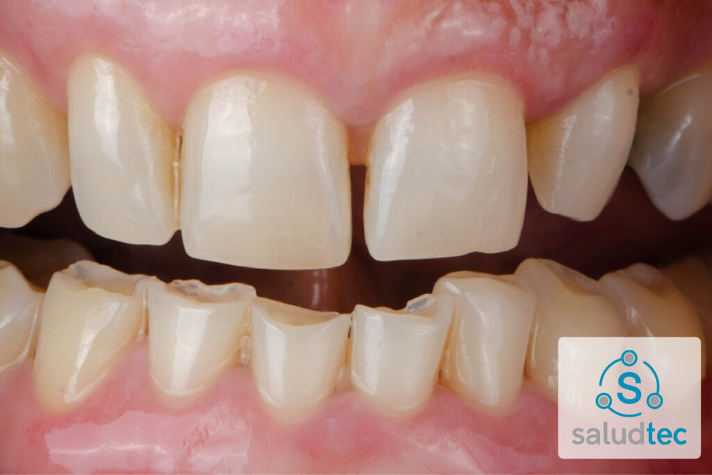
Bruxismo: un desafío creciente en la práctica odontológica.
El bruxismo, se ha convertido en uno de los trastornos más prevalentes en la consulta odontológica. Estudios recientes muestran un […]
Bruxismo: un desafío creciente en la práctica odontológica. Read More »






